近日,清华大学附属垂杨柳医院脊柱外科(骨四科)收治了一位特殊的患者。今年已86岁高龄的黄老近期腰背部疼痛,活动受限,变化体位时疼痛更甚。经脊柱外科(骨四科)医疗团队细致检查后发现患者胸腰段脊柱散在叩痛。但是患者没有外伤史,是什么原因导致患者腰背部疼痛呢?
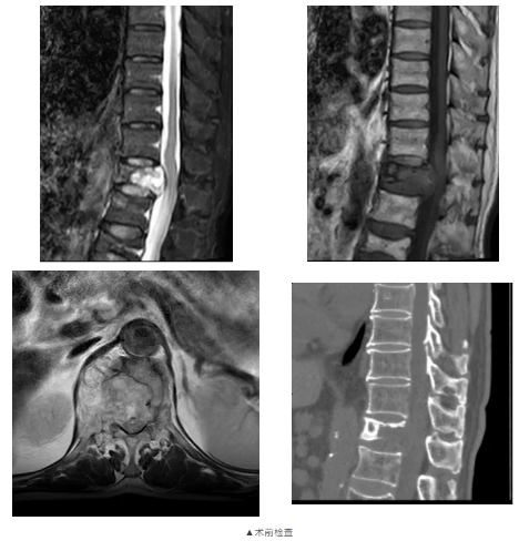
原来在一年前,黄老因罹患肾脏肿瘤行左肾切除术,但术后病理不详。脊柱外科(骨四科)主任姜树东在得知这一情况后,立即为患者完善胸腰椎核磁共振检查。结果提示T12椎体骨质破坏,结构不完整,向后压迫硬膜囊,椎管狭窄,脊髓受压;周围软组织肿胀;考虑病理性骨折(T12),脊柱转移瘤可能性大。随后,再行T12椎体穿刺活检术。同时患者家属提供了患者的既往病历:左肾肿瘤符合透明细胞癌。

椎骨活检病理结果显示:(T12椎体内组织)送检少许破碎骨组织、多量纤维结缔组织及纤维素渗出坏死组织。纤维结缔组织部分间质疏松水肿,部分区域细胞密集,局灶可见透明细胞浸润。结合病史及免疫组化结果,符合肾透明细胞癌转移。
综合患者各项检查结果,姜树东带领脊柱外科(骨四科)医疗团队开展病情讨论。患者高龄,合并脊柱转移癌,病理性骨折,椎管狭窄,左肾切除术后,肾恶性肿瘤病史诊断明确。为缓解患者症状,提高生活质量,经与患者及家属充分沟通,考虑行脊柱手术治疗。
手术当日,姜树东会同脊柱外科(骨四科)主治医师梁得华在全麻下为患者进行后路胸椎椎板切除椎管减压、T12椎体强化术、T11、L1椎弓根钉内固定术、植骨融合术。手术过程顺利。术后患者恢复良好,腰背部显著缓解,在支具保护下可以进行常规活动。患者在术后1周顺利出院,后续接受抗肿瘤相关治疗。

科普小课堂:老年患者腰背部疼痛的常见原因
脊柱退行性疾病:腰椎间盘突出症、腰椎管狭窄症、脊柱失稳(脊柱滑脱、脊柱侧弯、脊柱后凸)等多由脊椎骨、椎间盘、椎间关节等退变所致,病程较长,症状可反复出现,可合并下肢疼痛、麻木、酸胀、间歇性跛行等不适。
老年性骨质疏松伴椎体压缩性骨折:女性多见,轻微外伤或无明显外伤情况下出现腰背部疼痛,变化体位时疼痛加重,卧床休息疼痛缓解;病程较短,多急性发病,药物治疗效果欠佳,疼痛程度较剧烈。
脊柱肿瘤:其中多发性骨髓瘤、脊柱转移瘤较常见,多表现为无明显诱因出现腰背部疼痛,合并病理性骨折时疼痛程度剧烈,不能耐受,伴活动受限;肿瘤压迫脊髓神经时,可出现下肢疼痛、麻木、无力或二便障碍等功能障碍。
脊柱转移瘤诊断时,患者和医生的共同目标是制定最合适、有效的治疗方案,综合评估原发癌、转移程度、基础疾病状况、营养状况、脏器功能状况等,以最大限度改善生活质量。特别对于合并病理性骨折或脊髓、神经压迫的患者,手术治疗成为脊柱转移瘤患者的可行选择。
其中微创技术在脊柱转移瘤的诊断治疗中应用愈加成熟;①椎骨活检:影像学引导(超声、X线、CT等)下经皮穿刺椎骨活检是一种微创、快速且高效的诊断技术;②椎体强化术:经皮穿刺椎体成形术(PVP)和经皮穿刺球囊扩张椎体后凸成形术(PKP)可以有效治疗椎体骨折患者疼痛,强化椎体,减少卧床;适用于良性疾病(骨质疏松性椎体压缩性骨折)和恶性肿瘤(血液系统肿瘤或脊柱转移瘤)。③肿瘤消融治疗:消融技术的特点是通过高温消融以实现肿瘤破坏,通过控制局部肿瘤,达到镇痛效果;联合椎体强化术能够同时获得缓解疼痛、肿瘤消融和椎体稳定的作用。④栓塞治疗:主要用于富含血管性肿瘤和有症状性血管瘤,脊柱转移瘤通常是富含血管的,手术治疗大出血风险高,术前栓塞肿瘤供血动脉可显著减少手术出血量。