近日,一名18岁男性患者因气胸术后出现血胸,紧急转入清华大学附属垂杨柳医院。在医院胸外科、介入与血管外科、运动医学与关节外科(骨二科)、麻醉科、第一手术区等多学科团队紧密协作下,患者最终转危为安,顺利康复出院。
患者半月前因右侧气胸接受胸腔镜下肺大疱切除手术。术后一周出现右侧血胸,再次接受胸腔镜止血治疗。本以为病情逐步稳定,却在出院两日后突发右侧胸痛,疼痛持续不缓解,伴大汗、短暂意识丧失,由120紧急送至清华大学附属垂杨柳医院急诊救治。
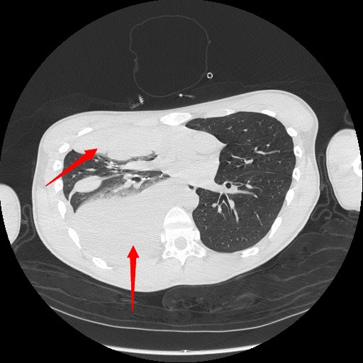
入院后胸部CT提示大量血胸,患者大汗、贫血貌,胸痛剧烈无法平卧。急诊第一时间联系胸外科会诊。胸外科主治医师赵云会诊后请示科主任崔健,明确右侧血胸诊断,决定立即手术治疗。医院麻醉科、第一手术区接到急诊手术通知后迅速响应,紧急做好术前准备。

手术由胸外科主任崔健、副主任医师胡晓丹,会同赵云,协同医院麻醉科、第一手术区手术室团队展开。术中胸腔镜下可见右侧胸腔大量血块,右侧胸顶存在活动性出血。由于患者此前已接受过两次胸腔手术,胸腔内创面组织情况复杂,再次止血难度较大。术中出血量累计达3000毫升,团队启用血液回收机进行血液置换并输血。
在压迫止血控制出血后,医院介入与血管外科、运动医学与关节外科(骨二科)迅速参与会诊,共同探讨后续止血方案。最终,崔健主任在胸腔镜下采用血管缝合线结合涤纶心脏修补材料成功缝合出血点,有效控制出血。
术后患者恢复顺利,术后第二天拔除胸腔引流管,术后第三天达到出院标准,顺利出院。从急诊入院到多学科协作救治,整个流程衔接紧密、处置高效,为患者争取了宝贵的救治时间。
此次成功救治充分体现了清华大学附属垂杨柳医院在多学科协作救治急危重症方面的综合实力。也展现了医院胸外科在全胸腔镜微创手术方面的综合诊疗能力。医院胸外科通过近年来的不断提升,现可完成肺大疱切除、气胸根治、血胸止血、胸膜粘连松解等各类胸外科手术。未来,清华大学附属垂杨柳医院胸外科将继续依托多学科协作机制,不断提升急危重症救治能力,为百姓健康保驾护航。
“数字百行,与U共赢”,2021 UCloud优刻得渠道招募会五城巡展第二站,5月2
生活中,很多被孩子生长发育问题困扰的家长到医院寻求帮助时,都会被医生告
12月19日至20日,由健康报社、厦门市卫生健康委员会主办,中国建设银行厦门