“朝阳医院给了我第二次生命!”术后已能下地活动的范女士(化名),对北京朝阳医院普外中心甲状腺颈部外科及多学科团队满心感激。38岁的她,曾因复杂凶险的甲状腺癌走到生死关头,而北京朝阳医院的医者凭借精湛技术与协作精神,为她开辟了生命希望之路。
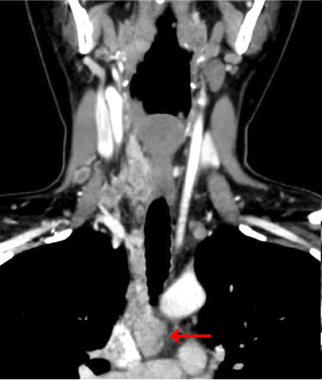
2025年9月,范女士在体检中意外发现甲状腺癌,进一步检查显示:双侧甲状腺癌已侵犯喉返神经、甲状旁腺及带状肌,并广泛转移至双侧颈部淋巴结、右侧锁骨上下区及纵隔淋巴结;肿瘤紧邻颈部及纵隔胸腔大血管,尤其心包内部分紧邻上腔静脉终末部及右肺动脉,周围重要神经、淋巴管等解剖结构也受到波及。

范女士在体检中意外发现甲状腺癌
辗转多家医院后,范女士及家属深知手术风险极高:纵隔心包内肿瘤紧邻上腔静脉等大血管,即便劈开胸骨,术中剥离肿瘤时仍可能引发致命的大出血;肿瘤侵犯右侧喉返神经、甲状旁腺等重要结构,术后可能出现永久性声音嘶哑、终身补钙等后遗症,严重影响生活质量;术后还可能出现食管瘘、纵隔感染等继发问题,危及生命,其病情复杂程度远超常规。
面对这台高风险、高难度手术,北京朝阳医院普外中心甲状腺颈部外科主任魏伯俊团队高度重视,迅速组织放射科、心脏大血管外科、胸外科、麻醉手术中心、输血科、重症医学科(SICU)、呼吸与危重症医学中心、核医学科、药事部等多学科会诊。专家们反复研讨,最终确定手术方案:同期完成双侧全甲状腺切除、颈部及纵隔淋巴结清扫,劈开胸骨、切开心包,在直视下彻底切除纵隔侵犯肿瘤,同时全力保护重要血管、神经安全。“再难也要接!”魏伯俊毅然承担起这份重任。
2025年10月14日,手术如期开展。多学科团队通力协作,麻醉手术中心主任吴安石、主任医师高建东提前拟定神经监测插管与血流动力学管理方案;护士长秦立宁与俞莎莎精心规划,开放下肢静脉通路保障手术顺利。麻醉就绪后,魏伯俊带领副主任医师赵腾、住院医师黄楠,精准切除双侧甲状腺及颈部受累组织,除严重受累的右侧喉返神经及右上甲状旁腺外,左侧喉返神经及其余3枚甲状旁腺均完好保存,紧邻肿瘤的交感神经、颈内静脉等也被仔细剥离。随后,胸外科主任胡滨与心脏大血管外科常务副主任李波、血液科副主任刘爱军,共同规划开胸与纵隔清扫路径,指导完成胸骨劈开及心包切开操作,与魏伯俊团队一同彻底清扫广泛纵隔转移淋巴结,完好保护了上腔静脉等心脏大血管的完整性。经过12小时奋战,手术顺利结束,术中出血量极少,重要血管、神经均得到妥善保护。

多学科团队专家通力协作为患者开展手术
术后,范女士转入SICU病房,24小时内即转回甲状腺颈部外科病房。护士长张莹带领护理团队悉心照护,定时听诊肺部呼吸音、协助雾化治疗、指导呼吸排痰,预防肺部感染;同时给予暖心鼓励,帮助她缓解焦虑、树立康复信心。在医护团队照料下,范女士恢复速度远超预期,生命体征平稳,血钙、甲状旁腺激素(PTH)等指标正常,术后第4天便顺利拔除胸腔及心包引流管并自主下地活动。

范女士恢复迅速,术后第4天便顺利拔除胸腔及心包引流管并自主下地活动
术后1个月,范女士一家专程从湖北赶来,在魏伯俊门诊激动地表达感激之情:“从确诊时的绝望到回归正常生活,是朝阳医院多学科团队的精湛医术帮我闯过难关,也是护士们的陪伴和鼓励,让我有勇气坚持下来。”

患者术后恢复良好

患者及家属与魏伯俊合影
此次手术的成功,展现了普外中心甲状腺颈部外科的精湛专业技术,也彰显了北京朝阳医院多学科协作在救治复杂危重病例中的强大能力。朝阳医者始终以患者为中心,迎难而上、密切协作,用专业与担当守护患者生命健康,为甲状腺癌诊疗积累了宝贵实践经验。
“数字百行,与U共赢”,2021 UCloud优刻得渠道招募会五城巡展第二站,5月2
生活中,很多被孩子生长发育问题困扰的家长到医院寻求帮助时,都会被医生告
12月19日至20日,由健康报社、厦门市卫生健康委员会主办,中国建设银行厦门